Удаление зубного камня

Чистите зубы дважды в день и всё равно чувствуете шероховатость у дёсен? Это нормально и... предсказуемо. Налёт живёт по своим правилам: если его вовремя не удалить, он минерализуется и превращается в зубной камень даже у самых дисциплинированных.

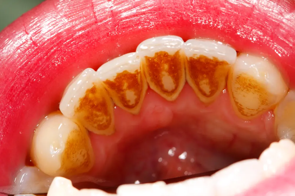
Зубной камень на задней поверхности нижних зубов

Прочитайте статью, чтобы узнать, как налёт становится камнем, почему домашняя чистка зубов бессильна и как в «Центре имплантации доктора Фёдорова» возвращают зубам ту самую «стеклянную» гладкость.

Содержание:

Налет и камень – в чем разница?

Налёт на зубах – мягкая биоплёнка из бактерий, белков слюны и остатков пищи. Снимается щёткой, нитью, ирригатором.

Камень – минерализованный налёт. Бактерии оказываются «замурованы» солями слюны и продолжают жить в анаэробных условиях, вырабатывая токсины. Возникает воспаление дёсен, ткани, удерживающие зуб, разрушаются: дёсны отступают, оголяются шейки, появляется подвижность.

Чтобы было проще понять!

Налёт – тонкий слой пыли на стекле: смахнул и чисто.

Камень – как известковый налёт в чайнике: нужен ультразвук, чтобы отколоть.

Как быстро налёт превращается в камень?

  1. Через 6–12 часов после чистки на зубах появляется тонкая бактериальная плёнка.
  2. За 2–3 дня она уплотняется, особенно в местах, где щётка не достаёт.
  3. Через 10–14 дней налёт начинает минерализоваться и становится камнем.

Откуда берутся минералы?

Минералы берутся из слюны (кальций, фосфаты). Чем она гуще и щёлочнее, тем быстрее растёт камень. Даже идеальная техника чистки не отменяет этот биохимический процесс – она лишь замедляет его.

Так что чистить зубы можно идеально, но если пропускать хотя бы один приём пищи без полоскания – бактерии уже успеют построить свой «цементный завод».

Почему важно удалять зубной камень?

Большинство людей думают: «немного налёта у дёсен, потом как-нибудь почищу». Но это не мелочь, а начало воспаления. Камень, как ржавчина на металле: пока ты её не соскоблишь, она будет медленно съедать основу.

Что происходит, если не удалить камень вовремя?

  • сначала – гингивит: дёсны воспаляются, кровоточат, могут немного отекать;
  • затем – пародонтальные карманы: бактерии проникают глубже под десну;
  • следующая стадия — рецессия дёсен: зубы визуально «удлиняются»;
  • и финал – подвижность зубов, иногда необратимая.

По данным Американской академии пародонтологии, именно зубной камень – причина 70% случаев потери зубов у взрослых, а не кариес.

Почему зубной камень – не просто косметическая проблема?

Зубной камень – это хронический очаг инфекции. Бактерии из-под дёсен попадают в кровь, повышая риск воспалений в других органах.

По данным исследований Гарвардской школы стоматологии, наличие нелеченого пародонтита увеличивает риск болезней сердца на 25%, а у женщин – осложнений при беременности.

Удаление камня – это не просто “уход за улыбкой”, это профилактика потери зубов. И чем раньше начать, тем меньше придётся лечить.

Можно ли удалить камень на зубах в домашних условиях?

Коротко – нет. Сода, лимон, перекись, «чудо-пасты» и домашние скейлеры с маркетплейсов либо не работают, либо травмируют эмаль и дёсны.

Мнение врача!
Колгушкина Татьяна Васильевна
Колгушкина Татьяна Васильевна

Врач-стоматолог, терапевт. Клинический опыт – более 24 лет

«Щёлочи и кислоты камень не растворяют – они разрушают эмаль и обжигают слизистую. Домашние ультразвуковые гаджеты не обеспечивают ни нужной частоты, ни контроля температуры, ни безопасности под десной. В лучшем случае эффекта не будет, в худшем – чувствительность, микротрещины и пигментация».

Важно:

Камень – это минерализованная структура. Снять её можно только профессионально: ультразвуком и порошково-струйной технологией.

Как удаляют зубной камень в стоматологической клинике?

1. Осмотр + выявление биоплёнки

(при необходимости – окрашивание налёта, чтобы точно выделить зону риска).

2. Ультразвуковой скейлинг (над- и поддесневой).

  • Насадки работают с частотой десятки тысяч колебаний в секунду: камень трескается от микровибраций и отслаивается.
  • Постоянная водяная подача охлаждает и вымывает фрагменты.
  • Современные аппараты автоматически подстраивают мощность под плотность отложений и вашу чувствительность.

3. AirFlow/порошково-струйная обработка.

Мягко снимает пигмент и биоплёнку, полирует труднодоступные участки. Это дополнение, а не замена поддесневой работы.

4. Ручная доработка кюретами.

Там, где нужно точечно пройти карманы и сложные участки.

5. Полировка + реминерализация/десенситайзер.

Закрываются поры эмали, снижается чувствительность, продлевается гладкость поверхности зубов.

5. Индивидуальная инструкция по гигиене.

Персональный подбор щётки, насадки, зубной нити, ёршиков, ирригатора.

Ультразвук стирает эмаль?

Нет. Насадка воздействует на камень, а не на эмаль; вода охлаждает и смывает остатки. После полировки поверхность становится менее пористой и дольше сопротивляется окрашиванию.

Мнение врача!
Колгушкина Татьяна Васильевна
Колгушкина Татьяна Васильевна

«В среднем чистка зубов у стоматолога занимает 30–40 минут. Мы рекомендуем проводить её каждые шесть месяцев, а при склонности к образования камню – раз в четыре месяца».

Мини-тест: стоит ли тебе записаться на чистку уже сейчас?

Девушка смотрит в зеркало на зубы после чистки у стоматолога

Ответь «да» или «нет»:

  • При чистке бывает кровоточивость дёсен?
  • Утром ощущаете неприятный запах изо рта?
  • Есть шершавость или «ступенька» у дёсен?
  • Заметили потемнение по краю пломб или коронок?

Если есть хотя бы один «да», камень уже работает против вас – лучше прийти на профгигиену.

Профилактика образования зубного камня

Что можно сделать дома, чтобы камень не образовывался?

Пейте воду после еды.

Это снижает кислотность во рту и замедляет рост налёта.

Меняйте щётку каждые 2–3 месяца.

Изношенные щетинки не достают до линии дёсен.

Используйте нить или ирригатор.

Межзубные промежутки – любимое место камня.

Следите за “тихими зонами”.

Если зубы у дёсен стали шершавыми – это сигнал, что пора к гигиенисту.

Профилактическая чистка раз в 6 месяцев

- как техосмотр, только для улыбки.

Что можно и нельзя делать после удаления зубного камня?

После профессиональной чистки зубы становятся гладкими и чувствительными – это нормально. Эмаль только что освободилась от налёта и нуждается в щадящем обращении.

Что можно
  • Есть через 30–40 минут. Слюна успевает восстановить естественный баланс, и эмаль уже не уязвима.
  • Пить воду и полоскать рот после еды. Это помогает вымывать бактерии, пока поверхность зуба идеально гладкая.
  • Чистить зубы вечером мягкой щёткой. Так вы не травмируете дёсны, которые после процедуры могут быть чувствительнее.
  • Использовать реминерализующий гель или ополаскиватель — он укрепит эмаль и снимет возможную чувствительность.
Что нельзя
  • Пить кофе, красное вино, чай и есть продукты с пигментом в течение 2–3 часов. Эмаль сейчас “открыта”, и красящие вещества легко впитываются.
  • Курить в день процедуры. Никотин мгновенно окрашивает очищенную эмаль и раздражает дёсны.
  • Есть кислые, острые и очень горячие блюда. Они усиливают чувствительность и могут вызвать микровоспаление.
  • Игнорировать вечернюю чистку. Именно после удаления камня бактерии особенно активны, пытаясь вернуть себе “место под солнцем”.

Мини-тест: найди свой “камень преткновения”

  • Ты часто перекусываешь между приёмами пищи?
  • Любишь кофе или газировки?
  • Редко пользуешься нитью?

Если «да» на два и более – твой риск образования камня выше среднего на 45%.

Вопросы и ответы

Вопросы-ответы

  1. Больно ли во время удаления зубного камня?
    Нет. Ультразвук разрушает камень, не касаясь эмали. При повышенной чувствительности врач может использовать гель-анестетик.
  2. Можно ли совместить удаление камня с отбеливанием?
    Да, и так даже лучше – чистая поверхность усиливает эффект отбеливания и делает его равномерным.
  3. Почему у меня быстро образуется зубной камень?
    Это зависит от состава слюны, питания и ухода. Если она содержит больше кальция, камень появляется быстрее — поэтому важно проходить чистку каждые 4–6 месяцев.
  4. Влияет ли диета и питьевой режим?
    Да. Недостаток воды и избыток сладкого или кофе повышают кислотность, ускоряя минерализацию налёта.
  5. Чем профессиональная чистка отличается от домашней?
    Домашний уход снимает мягкий налёт, но не достаёт под десну. Профессиональная гигиена удаляет камень полностью и предотвращает воспаление дёсен.
Колгушкина Татьяна Васильевна

Эксперт, автор статьи

Колгушкина Татьяна Васильевна

Запись
на бесплатный прием
Некорректно заполнено поле
Некорректно заполнено поле
Вы не прошли проверку системы безопасност. Попробуйте еще раз

или позвоните

+7 495 151-09-01

Нажимая на кнопку «Записаться», Вы даёте согласие на обработку персональных данных и соглашаетесь с Политикой конфиденциальности.

30-40 минут

Бесплатно

Image descripription
  1. Врач осмотрит вас и поставит диагноз
  2. Вы получите план лечения со сроками и стоимостью
  3. Если устроит, сможете сразу начать лечение