Крошатся зубы

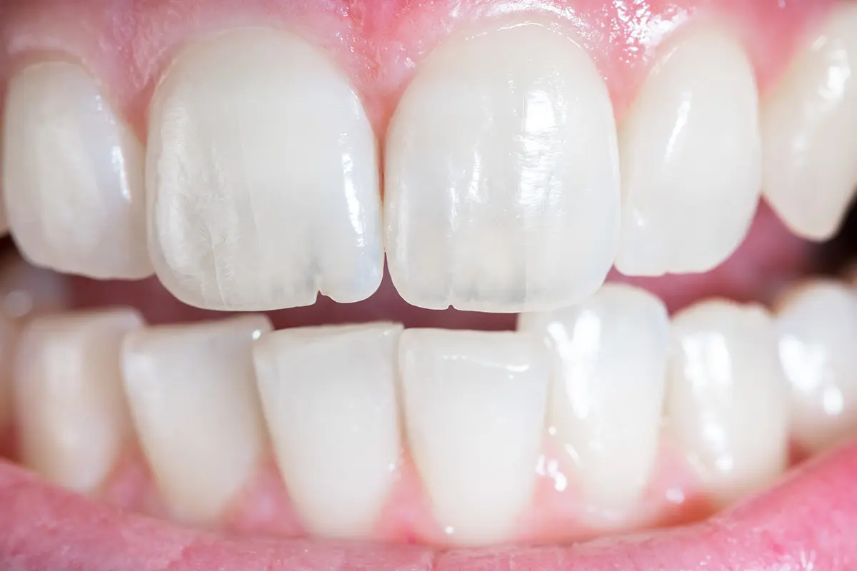
Фотография зубов с потрескавшейся и сколотой эмалью

Почувствовали хруст при жевании, заметили, что край зуба стал неровным, появились сколы на “здоровом” зубе – и это повторяется?

Часто проблема не в “плохой пломбе”, а в причине, которая продолжает разрушать эмаль: кислота, перегрузка прикуса, сухость во рту, иногда – скрытый кариес.

В «Центр Имплантации Доктора Федорова» каждый день обращаются пациенты с разрушением зубов – и нередко без явных “дыр” и боли. Ниже – понятный разбор от врачей:

  • почему зубы крошатся даже без кариеса;
  • как отличить эрозию от перегрузки;
  • что можно сделать прямо сегодня, чтобы остановить разрушение;
  • какие методы восстановления реально работают (и когда уже нужен имплант).
Лечение крошащихся зубов в центре Имплантации Доктора Федорова
В этой статье разберем:

Быстрый тест: почему крошатся зубы именно у вас

Отметьте, что похоже на вашу ситуацию:

Похоже на кислоту (эрозию):

  • эмаль как будто «тает», края становятся полупрозрачными;
  • чаще страдают передние зубы;
  • любите кислые напитки/перекусы, есть изжога/рефлюкс;
  • сколы повторяются даже после хороших реставраций.

Похоже на перегрузку (бруксизм/прикус):

  • сколы появляются на «здоровых» зубах без кариеса;
  • края неровные, будто сточенные, зубы кажутся короче;
  • по утрам напряжение в челюстях, головные боли, «стёртые» бугры;
  • ломаются старые пломбы, появляются микротрещины.

Похоже на сухость во рту (ксеростомию):

  • постоянно хочется пить, «липко» во рту, трудно глотать сухую пищу;
  • кариес/сколы ускорились на фоне лекарств;
  • ухудшение после 50+ или при приёме нескольких препаратов.

Если совпало 2–3 пункта из одного блока – это уже хорошая подсказка, с чего начать диагностику.

Что значит “крошатся зубы” с точки зрения стоматолога

Обычно речь о двух сценариях:

  1. Эмаль ослабла (кислоты/сухость/начальная деминерализация), и любой контакт – еда, щётка, нагрузка – вызывает микросколы.
  2. Зуб перегружен (бруксизм, неправильный прикус, старые пломбы), и появляются трещины и сколы даже при внешне “здоровой” эмали.

Именно поэтому “просто поставить пломбу” часто даёт временный эффект: скол возвращается, потому что причина не устранена.

Почему крошатся зубы: 3 главные причины

1) Кариес и кислотная эрозия – похожий финал, разные механизмы

Кариес разрушает зуб изнутри: бактерии перерабатывают сахар и выделяют кислоту, которая постепенно ослабляет эмаль и дентин. Снаружи зуб может казаться целым, но внутри уже есть «слабые зоны».

Кислотная эрозия истончает эмаль с поверхности: кислоты из напитков, пищи или желудка размягчают эмаль – и зуб начинает крошиться без классической “дырки”.

Что ускоряет разрушение при обоих состояниях:

  • частые сладкие/кислые перекусы (эмаль не успевает восстановиться);
  • слабая защита слюны и дефицит фтор-поддержки;
  • жёсткая чистка, полировки «слишком часто»;
  • налёт (при кариесе) – локальные очаги кислоты у края десны и между зубами.

2) Механический износ и перегрузка (бруксизм, прикус, сжатие челюстей)

Если зубы крошатся “вроде без причин”, очень часто виновата нагрузка.

Признаки, что дело в перегрузке:

  • сколы/трещины появляются на зубах без кариеса;
  • края неровные, как будто “обточенные”;
  • зубы становятся короче (стираются);
  • растёт чувствительность;
  • утром – напряжение в челюстях, головные боли, ощущение “сжатости”;
  • у партнёра/родных есть жалобы на “скрежет ночью”.
Мнение врача!
Гелло Ирина Андреевна
Гелло Ирина Андреевна

Стоматолог-ортодонт. Стаж: более 12 лет.

Почему капа/сплинт помогает?

«Она перераспределяет нагрузку и не даёт зубам напрямую “биться” друг о друга. Это снижает риск микротрещин и продлевает срок службы пломб, виниров, коронок.»

Бесплатная консультация

3) Старые реставрации и “эффект клина”

Большие пломбы со временем могут работать как клин: при нагрузке они раздвигают тонкие стенки и провоцируют сколы.

Тревожный ориентир: если пломба занимает значительную часть зуба, повторный скол часто решается не “новой заплаткой”, а укреплением керамикой (накладка/онлей/оверлей) или коронкой – в зависимости от ситуации.

Факторы, которые ускоряют “крошение” зубов

Ксеростомия (сухость во рту)

Слюна – это естественная защита: она нейтрализует кислоту и помогает реминерализации. Когда слюны мало или она “не работает” как надо, эмаль быстрее теряет прочность.

Кто в группе риска:

  • пациенты старше 50 лет на нескольких препаратах;
  • люди, принимающие антидепрессанты и другие средства, снижающие слюноотделение;
  • синдром Шёгрена (иногда даже без яркого ощущения сухости).
Коллаж из трех иллюстраций: 1) Стакан с лимонадом; 2) Изжога и прочие проблемы с желудком; 3) Мужчина достает таблетки из банки, некоторые из которых уже лежат в ладони
Как работаем в клинике:
  • простой тест на слюноотделение;
  • поиск причины снижения слюны;
  • подбор защиты эмали и стимуляции слюноотделения;
  • при необходимости – реминерализирующая терапия и коррекция факторов риска.
Бесплатная консультация

ГЭРБ и частая рвота

Это реже, но разрушает эмаль быстро и агрессивно, часто без боли. Важный признак: края “ломаются снова” даже после качественной реставрации.

Тактика лечения: сначала стабилизируем кислотный фактор (иногда с участием гастроэнтеролога), и только затем безопасно восстанавливаем зубы.

Привычки, из-за которых крошатся зубы

  • частые перекусы и сладкое;
  • кислые напитки: газировки, лимонады, энергетики, соки, цитрусовые “на перекус”;
  • чистка сразу после кислого (в этот момент эмаль мягче);
  • слишком частая полировка;
  • привычка грызть лёд/орехи/сухари, ручки, ногти;
  • открывать зубами упаковки/бутылки.

Диагностика: как стоматолог понимает, почему крошатся зубы

Когда зубы начинают крошиться, простая пломба не решает проблему, пока не выявлена причина разрушения. В нашей клинике мы проводим полную диагностику, чтобы точно определить источник и остановить процесс:

1. Поиск «сверхнагрузки» (анализ окклюзии).

Чаще всего зубы крошатся из-за перегрузки. Врач проверяет контакты зубов с помощью артикуляционной бумаги (копирки), выявляя проблемные точки.

2. Сбор анамнеза

Если сколы острые, а эмаль прозрачная или «тающая», это признак эрозии. Врач выясняет привычки, питание, симптомы ГЭРБ и другие факторы.

3. Рентген

Это стандартная часть диагностики, без которой нельзя полностью оценить скрытые очаги кариеса, трещины или состояние корня.

4. Ревизия старых реставраций

Огромные старые пломбы могут работать как клин, разрывая тонкие стенки зуба. Если пломба занимает больше 50% зуба, именно она часто является причиной сколов. Обзор с ретроспективным анализом показал, что за 10 лет вторичный кариес становится доминирующей причиной отказов реставраций, а не материал пломбы сам по себе (MDPI). В таких случаях зуб укрепляют керамикой, а не ставят новую «заплатку».

5. Фотопротокол

Макро-снимки зубов фиксируют текущее состояние и позволяют отслеживать динамику стираемости (BEWE). По ним врач показывает пациенту, где прикус разрушает эмаль, и использует их как документальное подтверждение процесса.

Зуб начал крошиться: когда срочно к стоматологу?

Вот 5 случаев, когда записаться на прием нужно немедленно.

1. Острая боль при еде, холоде или ночью

Промедление повышает риск гнойного пульпита: потребуется удаление нерва, лечение каналов, возможны осложнения. Чем раньше вы придёте, тем выше шанс сохранить нерв.

2. Скол с оголением нерва

Если зуб крошится до такой степени, что внутри видна розовая или кровоточащая ткань, значит, пульпа (нерв) обнажена. Бактерии могут вызвать воспаление за часы, возможна полная потеря коронковой части. Закройте скол ватой, а также обратитесь в клинику в течение 24 часов.

3. Зуб стал шататься

Если появилась внезапная подвижность, особенно после того как откололся кусок – это признак перелома корня или скрытой инфекции. В первые 1–2 дня его еще можно спасти. Не откладывайте.

4. Отек десны, щеки или гной

Это значит – гной скопился у корня зуба. Он давит на ткани, распространяется вглубь челюсти и в кровь. Это экстренная ситуация – обращение вне очереди.

5. Травма: удар, падение, авария

Даже если не видно скола, возможны скрытые повреждения. Осмотр и снимок в течение 24 часов увеличивают шансы избежать удаления в 3 раза (по данным ЦНИИС, 2024).

73% пациентов приходят слишком поздно

Не уверены, насколько серьёзно?

Позвоните нам – опишите симптомы. За 2 минуты врач определит можно ли сохранить зуб без реставрации или необходимо медицинское вмешательство.

Бесплатная консультация

Крошится зуб: лечение от степени поражения

Не бывает «универсального лечения». Мы выбираем метод лечения в зависимости от того, насколько сильно крошится зуб.

Ранние стадии: когда зуб еще незаметно крошится

На данном этапе важно остановить процесс и восстановить структуру эмали.

Рекомендации по коррекции поведенческих факторов:

  1. Минимизируйте частоту контакта зубов с кислыми продуктами (газированные напитки, цитрусовые, фруктовые соки). Употребляйте их только во время основных приемов пищи – это снижает длительность кислотной атаки.
  2. Не чистите зубы в течение 30–60 минут после употребления кислого. В этот период эмаль временно размягчена, и механическая чистка ускоряет её износ.
  3. Для быстрой нейтрализации кислой среды после еды рекомендуется прополоскать рот водой или использовать продукты с высоким содержанием биодоступного кальция и фосфата (например, молочные продукты). Это помогает слюне быстрее восстановить защитный pH и начать реминерализацию.

Профессиональная поддержка:

  1. Фторлак (5% натрия фторид) – врач наносит в клинике 2–4 раза в год. Доказано, что такая профилактика снижает риск кариеса на 40%. Особенно эффективна при начальных признаках деминерализации.
  2. Домашние средства с фтором ≥1450 ppm – ежедневное применение лечебно-профилактической пасты с достаточной концентрацией фтора. Концентрации ниже этого уровня не обеспечивают защитного эффекта.
  3. CPP-ACP (комплекс кальция, фосфата и молочного белка) – это адъювантная (дополнительная) терапия для усиления эффекта фтора, особенно при дефиците кальция в слюне. Назначается только после лабораторной оценки индивидуального кариесогенного риска.

При соблюдении рекомендаций в течение 3–6 месяцев наблюдается уплотнение эмали, снижение чувствительности и стабилизация процесса.

Средние дефекты: когда часть коронки уже откололась

Врач восстанавливает скол пломбой без спиливания здоровых тканей. При небольших сколах, на передних зубах используют композит, подобранный под цвет эмали. При кислой среде (например, ГЭРБ) выбирают стеклоиономер – он устойчив к кислоте, а также укрепляет эмаль. При бруксизме назначают ночную каппу, при чувствительных шейках – десенситайзеры, мягкую щетку, чистку «от десны».

Тяжёлый износ: множественные сколы, стертые зубы, изменение прикуса

Что делаем – поэтапно:

  1. Диагностический вокс-ап – моделируем будущую улыбку и прикус из воска. Проверяем: комфортно ли говорить, жевать, нет ли боли в суставе.
  2. Временное решение. Композитное поднятие прикуса или временные накладки – чтобы дать организму «привыкнуть», снять нагрузку с суставов.
  3. Постоянное восстановление. Оверлеи/виниры – если коронка частично сохранена, коронки из циркония – при глубоком разрушении или бруксизме (усиленная конструкция).

А что с зубами, которые нельзя восстановить?

Если корень разрушен, треснул или потеряна кость – сохранение невозможно. Но это не конец.

Мы бережно удаляем зуб с сохранением кости. Сразу проводим имплантацию (если объем кости позволяет). При недостатке кости – одномоментную костную пластику (меньше операций, быстрее результат). Протезируем через 3–6 месяцев.

Профилактика – как предупредить крошение зубов

1. Кислые, газированные напитки лучше привязывать к еде

Слюна вырабатывается активнее и быстрее нейтрализует кислоту. Трубочка снижает контакт кислоты с передними зубами, поэтому они меньше крошатся. А вода, сыр или йогурт после еды ускоряют восстановление эмали за счет кальция.

2. Пауза после кислого важнее силы чистки

В этот момент даже мягкая щетка работает как наждак. Ожидание 30–60 минут даёт эмали восстановить твёрдость. Это особенно важно для людей с эрозией.

3. Гигиена должна защищать, а не усиливать износ

Мягкая или средняя щётка, паста с фтором не ниже 1450 ppm снижают ежедневные потери эмали. Важно не стирать ослабленные зоны, особенно у шеек и на жевательных поверхностях.

4. Сухость во рту

Если слюны мало, кислота действует дольше, а защитная оболочка зуба не успевает минерализоваться, поэтому он быстрее крошится. Вода, слюнозаместители, пересмотр лекарств помогают снизить этот риск.

5. Из-за бруксизм крошатся даже «вылеченные» зубы

Капа нужна для сохранения результата. Без защиты нагрузка ночью в разы выше дневной. Именно из-за этого чаще всего крошатся уже ослабленные стенки зуба или свежие реставрации.

6. Контроль важнее ощущений.

Эрозия, микротрещины, перегрузка долго не болят. Осмотры каждые 4–6 месяцев позволяют увидеть изменения раньше, чем появится скол.

Эти правила не заменяют лечение, но делают его результат стабильным.

Вопросы-ответы

Почему во время беременности зубы стали крошиться?Ответ на вопрос
Почему крошатся передние зубы, а жевательные – нет?Ответ на вопрос
Правда ли, что зубы крошатся из-за нехватки кальция?Ответ на вопрос
Из-за бруксизма крошатся зубы? Нужна ли ночная капа?Ответ на вопрос
Отбеливающие пасты помогают или вредят?Ответ на вопрос
Фтор – это безопасно?Ответ на вопрос
Крошатся молочные зубы у ребёнка: что делать?Ответ на вопрос
Гелло Ирина Андреевна

Эксперт, автор статьи

Гелло Ирина Андреевна

Запись
на бесплатный прием
Некорректно заполнено поле
Некорректно заполнено поле
Вы не прошли проверку системы безопасност. Попробуйте еще раз

или позвоните

+7 495 151-09-01

Нажимая на кнопку «Записаться», Вы даёте согласие на обработку персональных данных и соглашаетесь с Политикой конфиденциальности.

30-40 минут

Бесплатно

Image descripription
  1. Врач осмотрит вас и поставит диагноз
  2. Вы получите план лечения со сроками и стоимостью
  3. Если устроит, сможете сразу начать лечение